QUELS SONT LES EFFETS ET LES RISQUES DU TABAC SUR LES DENTS ?
Fumer est mauvais pour la santé et pour le corps , c’est un fait bien connu de tous. Mais tout le monde n’est pas conscient que le tabac endommage également les dents, cela fait partie des séquelles sur le corps même après l’arrêt.
en bref
Pour cette raison, dans cet article de blog, nous présentons les effets et les risques de l’inhalation de la fumée de tabac brûlé sur les dents et la cavité buccale.
Les effets et les risques du tabac sur les dents
Toute personne qui fume augmente le risque de maladies dentaires telles que la parodontite ou la carie dentaire. Les ingrédients de la cigarette ainsi que l’effet direct du tabagisme sur le corps en sont responsables.
Carie dentaire due au tabagisme
La carie dentaire est une maladie dans laquelle les structures dentaires sont touchées par une contamination bactérienne. Ces bactéries adhèrent aux dents à travers la plaque. Si la plaque n’est pas éliminée rapidement et de manière cohérente avec une bonne hygiène dentaire, elle durcit et devient grave.
Le problème est que les bactéries sous la couche de plaque durent et attaquent la dent sans entrave, et la carie dentaire se produit.
Maladie parodontale due au tabagisme
En plus de la carie dentaire, les bactéries dans la bouche provoquent également à la parodontite : une inflammation bactérienne des gencives. Les bactéries ne pénètrent pas dans la cavité buccale par la cigarette, mais la nicotine le fait. Et la nicotine diminue le flux sanguin dans le corps. La maladie parodontale peut généralement être reconnue par le comportant des gencives, l’un des symptômes les plus courants de la maladie.
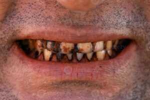
Pourquoi les dents jaunissent-elles en fumant ?
Une autre conséquence du tabagisme n’est pas directement nocive pour vos dents, mais elle a un impact sur votre estime de soi parce que fumer endommage l’apparence des dents.

Ceci est fait par les ingrédients de la cigarette qui collent aux dents lorsque la fumée est inhalée. Des substances telles que l’ammoniac, le goudron et la nicotine forment une couche solide sur les dents, ce qui entraîne un jaunissement.
Cette plaque ne peut pas être enlevée avec les méthodes conventionnelles de nettoyage des dents. Les dents jaunes dues au tabagisme sont donc un réel effet.
Le fait de fumer provoque un cancer de la cavité buccale.
Il est bien connu que le tabagisme cause le cancer. Malheureusement, le risque de contracter la maladie augmente considérablement avec la consommation de cigarettes. Mais le cancer peut non seulement se développer dans les poumons, mais aussi dans la région buccale.

Envie de changement ?
Libérez-vous durablement de l’envie de fumer, grâce à la Méthode Activation Neuronale du Changement® (A.N.C.), sans médicament et à votre rythme.
+ 5 000 personnes accompagnées, seulement 2% de rechutes.
En savoir plus En savoir plusSelon des études pertinentes, 90 % des personnes atteintes par le cancer de la bouche sont de gros fumeurs.
Autres risques du tabac sur les dents et la bouche
- Haleine mauvaise
- Diminution de la cicatrisation des plaies
- Les implants dentaires peuvent tomber
- Diminution de la visibilité des symptômes de la maladie dentaire
- Augmentation de la sensibilité à la douleur dans les dents
- Décoloration brune à noire des dents
- Dans les cas extrêmes, la perte de dents

Somme toute, le fait de fumer par voie orale a des effets graves sur les dents. Aussi, sur l’aspect esthétique et le bien-être, d’énormes dommages sont causés par le tabagisme. Nous exhortons très vivement tout fumeur à stopper cette pratique pour être à l’abri de ces effets multitudes.

Et si on en parlait, simplement ?
Pas besoin de prendre rendez-vous pour poser une question. James, notre coordinateur accompagnement, vous répond directement par WhatsApp ou par téléphone.
À votre rythme sans pression.
Voir aussi :




